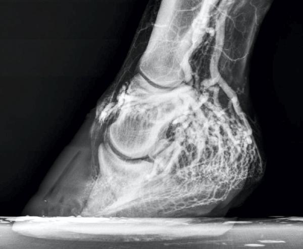
Recently I received a call out to a horse that had been on a hack through a forested area. While crossing a river, he had sustained a deep laceration to the back of the pastern on a front leg which presumably had been caused by a sharp stone. The horse pulled up lame immediately and the wound was bleeding.
The owner was luckily not far from home and was able to walk the horse back to the stable in hand. She cleaned the wound as well as she could with hose water and disinfectant and applied a pressure bandage as there was still a lot of bleeding. She then called me for help.


This is a subscriber-only article
It looks like you're browsing in private mode





SHARING OPTIONS: