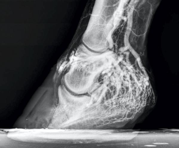
Hands On: Laceration to the lower limb
By
Irish Field Contributor
on 08 February 2017
Please click here to login and view this article
Related Stories
More in Horse management
Classifieds
Get full unlimited access to our content and archive.
Subscribe to The Irish Field
Subscribe to The Irish Field
Unlimited access to The Irish Field via your computer, mobile device, tablet or newspaper delivered to your door.
Already a subscriber? Sign in
















