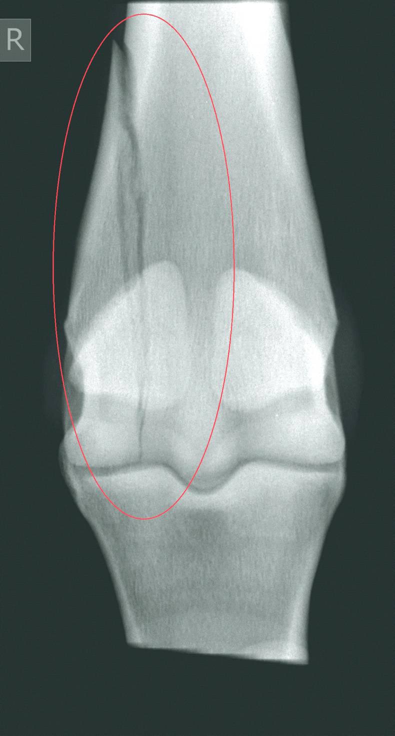
CONDYLAR fractures refer to fractures of the lower part of the cannon bone. The medial and lateral condyles are rounded prominences of the lower cannon bone which articulate with the long pastern bone forming the fetlock joint.
They are the most common fracture seen in the long bones of racehorses. Condylar fractures are twice as likely to occur in forelimbs and four times more likely to occur in the lateral condyle compared with the medial condyle.


This is a subscriber-only article
It looks like you're browsing in private mode


SHARING OPTIONS: